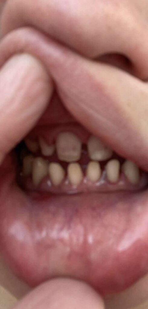
Foto: Jam Press / MEGA / The Mega Agency / Profimedia Foto: Jam Press / MEGA / The Mega Agency / Profimedia Foto: Jam Press / MEGA / The Mega Agency / Profimedia Alana je otišla u Tursku da sredi zube pa ostala bez njih: "Upropastili su mi život" FOTO autor: Jutarnji list Svet 18. okt. 2024. 09:55 1 Podeli vest: Alana Bun iz Belgije potpuno je ostala bez zuba, nakon što je otišla u Tursku da ih popravi. Prijateljica njene majke preporučila joj je kliniku, gde je naručila postavljanje krunica 2021. godine, piše britanski Miror. Podeli vest: Oglas Ukupni troškovi, uključujući let i hotel, bili su 10.000 evra, dok je sama operacija koštala 6.700 evra. Preko društvenih mreža su dogovorili plan zahvata, ona je poslala fotografije zuba stomatolozima u Turskoj. Alanini zubi pre zahvata u Turskoj Foto: Jam Press / Jam Press / Profimedia | Alanini zubi pre zahvata u Turskoj Foto: Jam Press / Jam Press / Profimedia Krajem jula počeli su pripreme za operaciju i brušenje zuba. Ona kaže da je već sledećeg dana počela da oseća bol, ali su joj tada rekli da moraju da urade i devitalizaciju kojom se uklanja deo ozbiljno oštećene zubne pulpe, što je dodatno platila. Dva dana kasnije, postavili su joj trajne krune. Kaže da je vikala i vrištala, jer ju je jako bolelo. Kada se početkom avgusta vratila kući, bol se samo pogoršao. Počela je da oseća rupe u ustima i „loš“ ukus. Priprema za postavljanje krunica Foto: Jam Press / Jam Press / Profimedia | Priprema za postavljanje krunica Foto: Jam Press / Jam Press / Profimedia Posetila je lokalnu ordinaciju u Belgiji da bi dobila drugo mišljenje, gde su potvrdili da je lečenje potpuno neuspešno i da su svi zubi morali da se izvade. Morala je na intenzivnu korektivnu proceduru, ponuđene su joj tri opcije lečenja koje koštaju između 22 i 38 hiljada funti. Krunice koje su joj stavili u Turskoj Foto: Jam Press / Jam Press / Profimedia | Krunice koje su joj stavili u Turskoj Foto: Jam Press / Jam Press / Profimedia Od aprila ove godine nije imala nijedan zub, ali joj je u međuvremenu ugrađeno osam implantata. Konsultovala je i oralne hirurge, koji su se složili da je jedina opcija da se izvade svi zubi i počne ispočetka. Još uvek se nije u potpunosti oslobodila svakodnevnog bola, ali joj je laknulo što su loši rezultati iz Turske uklonjeni. Alani su morali da izvade sve zube kad se vratila u Belgiju Foto: Jam Press / Jam Press / Profimedia | Alani su morali da izvade sve zube kad se vratila u Belgiju Foto: Jam Press / Jam Press / Profimedia Ona se nada da će nove procedure biti završene do jula sledeće godine, ali u međuvremenu želi da podeli svoju priču, kako bi drugi ljudi bili upozoreni na moguće posledice, jer ona nije. - Dobro razmislite pre nego što izaberete stomatologa u inostranstvu. Ako pođe po zlu, morate da rešite problem u svojoj zemlji i često na kraju platite tri puta više. Ne samo da su mi nestali zubi, već je i kvalitet života bio uništen. Ne mogu da jedem normalno i da se široko nasmejem - kaže Bun Miroru. turska zubi Pratite nas na društvenim mrežama: Koje je tvoje mišljenje o ovoj temi? Učestvuj u diskusiji ili pročitaj komentare Budite prvi koji će ostaviti komentar Pošalji komentar Pročitaj komentare (1)
0 Beogradska deca koja su razarala hotele po Jugoslaviji: Đaci ovih uglednih škola napravili su nečuven skandal 1978. Lifestyle 0
0 Kontinent nam se pred očima suši i cepa se na dva dela: "Kad se potpuno razdvoji, desiće se..." Nauka 0
0 U ovoj pećini arheolozi su pronašli novi svet za koji niko nije znao: Našli su nešto što ranije niko nije video Nauka 0
4 Evo u kojim zemljama možete da živite pristojno sa prosečnom srpskom platom - spremite se za "udarac realnosti" Lifestyle 4
5 Zaposleni otišao tri minuta ranije s posla, a onda mu je stigao mejl od šefice zbog koga su svi poludeli: Evo šta je napisala Lifestyle 5
1 Vremenska prognoza za februar: Spremite se za padavine i vetar, a evo kolike će biti temperature Lifestyle 1
3. Rajić: Sudija se prema Selakoviću ponaša kao da je infantilan i da mu treba staratelj, a ne kao da ima pet branilaca
4. Ovo je poznati restoran na koji je bačena bomba nakon hapšenja grupe koja je "pala" zbog reketiranja: Eksplozija odjeknula samo sat vremena posle hapšenja u lokalu FOTO
0 "Okupljamo se tamo gde je sve počelo": Studenti saopštili mesto centralnog događaja na Sretenje, 15. februara
0 "Nisam mislio da ću to ikad reći, ali u pravu je": Mile Kekin odgovorio na komentar Plenkovića, pa najavio specijalnu pesmu
Kod kojih pitanja o deci AI može da pomogne roditeljima, a koji odgovori veštačke inteligencije mogu da budu opasni
0 Suspendovana još jedna profesorka Pete gimnazije, direktorka Danka Nešović tera neposlušne: “Pretila je i zastrašivala, a ja nisam ćutala na nepravdu” Društvo 0
11 Patrijarh Porfirije protiv vernika: Oterani sveštenik i teolog, ko je još na spisku za odmazdu Društvo 11
10 Advokat Siniše Malog sada čuva leđa i Selakoviću: Ko je Igor Isailović, od Beograđanke, preko BIGZ-a i EXPO 2027, do Generalštaba Hronika 10
Spasojević (FPN): Antievropski zakoni ne nailaze na dovoljan otpor javnosti, deluje kao da vlast razmatra neki povratak u radikalski period
"Šest meseci nisam mogla da se skinem sa lekova": Rada Manojlović progovorila o teškom periodu i tome zašto nije spremna da ima decu
0 FOTO Gde ćemo opet gledati Novaka? Misteriozno završio govor u Australiji, a sada se iznenada pojavio poster
0 "Šest meseci nisam mogla da se skinem sa lekova": Rada Manojlović progovorila o teškom periodu i tome zašto nije spremna da ima decu Showbiz 0
Glumac iz "Kako sam upoznao vašu majku" upoznao je majku svog deteta na prilično bizaran način Showbiz 0
"Nisam mislio da ću to ikad reći, ali u pravu je": Mile Kekin odgovorio na komentar Plenkovića, pa najavio specijalnu pesmu Showbiz 0
Dok Prija odbija da peva na svadbama, ove zvezde zarađuju pravo bogatstvo: Evo koliko nastupe na privatnim slavljima naplaćuju Severina, Lepa Brena, Ceca... Showbiz 0
Zašto lakše trošimo novac koji „ne vidimo“ i da li je impulsivna kupovina oblik zavisničkog ponašanja
Neurohirurg (92) kaže da ovaj desert održava mozak mladim: Možete ga jesti svaki dan, ali pod jednim uslovom
3 Iskusni putnici ostaju na aerodromu zbog ovog nepoznatog pravila: Detalj o kojem ne razmišljate kad pokazujete pasoš, a mogao bi da vam upropasti put Putovanja 3
1 Uđi, prespavaj, prodaj: Novi koncept putovanja privlači sve više turista, termini popunjeni dve godine unapred Putovanja 1
12 Nikoli su za kamenu kuću nudili tri hotela u Dubaiju, ali je rekao - ne: Kad vidite kako izgleda, sve će vam biti jasno Putovanja 12
3 Pet tona droge stiglo iz firme u Skoplju osnovane 2023. godine, čiji je vlasnik Srbin i posluje u gubitku: Novi detalji istorijske zaplene u selu Konjuh
0 Beogradska deca koja su razarala hotele po Jugoslaviji: Đaci ovih uglednih škola napravili su nečuven skandal 1978. Lifestyle 0
"Okupljamo se tamo gde je sve počelo": Studenti saopštili mesto centralnog događaja na Sretenje, 15. februara Društvo 0
"Nisam mislio da ću to ikad reći, ali u pravu je": Mile Kekin odgovorio na komentar Plenkovića, pa najavio specijalnu pesmu Showbiz 0
Državni vrh još nije uručio Dositejeve diplome najboljim studentima: Da li se vlast plaši susreta sa njima Društvo 0
Glumac iz "Kako sam upoznao vašu majku" upoznao je majku svog deteta na prilično bizaran način Showbiz 0
"Mlađa grupa, dovode se u vezu sa višemesečnim paljenjem lokala": Šta je pozadina napada na tri poznata beogradska restorana Hronika 0
Dok Prija odbija da peva na svadbama, ove zvezde zarađuju pravo bogatstvo: Evo koliko nastupe na privatnim slavljima naplaćuju Severina, Lepa Brena, Ceca... Showbiz 0
"Mislim da je i Vučića sramota, pa je munjevito morao da reaguje": Zašto je Ustavni sud zabranio Vladanu Petrovu komunikaciju sa medijima Hronika 0
Velika akcija policije Severne Makedonije protiv ilegalne proizvodnje marihuane: Očekuje se zaplena desetina tona narkotika Svet 0
"Zovite Batu": Dve istorijske akcije zaplene marihuane srpske policije, a zajedničko im je jedno ime Hronika 0
2. Porodica i prijatelji do jutra slavili rođenje sina Milice Todorović: Među najveselijima bio ovaj pevač
3. Preokret u Humskoj: Mijatović smenio trenera, pa ga vratio sat vremena kasnije - sad sve zavisi od jedne stvari
4. Kardiohirurg objasnio šta treba da uradite ako imate srčani udar, a sami ste: Čak i jedan od ovih 6 saveta bi mogao da vam spasi život
5. VIDEO Jokićev tripl-dabl za istoriju u hramu košarke: Ludačka drama završena posle dva produžetka, Srbin radio šta je hteo
6. "Srpska Monika Beluči" živi i radi na selu: Sada je pazarila mašinu od 13.000 evra koja će joj mnogo pomoći
8. "Zovite Batu": Dve istorijske akcije zaplene marihuane srpske policije, a zajedničko im je jedno ime
9. Brnabić tvrdi da penzioneri u Srbiji žive bolje nego u Luksemburgu: "Ko je to uradio? Pa uradio je Aleksandar Vučić" VIDEO
0 FOTO Gde ćemo opet gledati Novaka? Misteriozno završio govor u Australiji, a sada se iznenada pojavio poster
0 "Šest meseci nisam mogla da se skinem sa lekova": Rada Manojlović progovorila o teškom periodu i tome zašto nije spremna da ima decu Showbiz 0
0 Kontinent nam se pred očima suši i cepa se na dva dela: "Kad se potpuno razdvoji, desiće se..." Nauka 0
0 Crvene čarape, halteri i mini-suknja: Margo Robi se na londonskoj premijeri "Orkanskih visova" pojavila u jednom od najsmelijih izdanja FOTO Showbiz 0
0 U ovoj pećini arheolozi su pronašli novi svet za koji niko nije znao: Našli su nešto što ranije niko nije video Nauka 0
0 Oboren testament Karla Lagerfelda: Rođaci ga nisu videli decenijama, ali žele njegovih 200 miliona evra Showbiz 0
Pevač jedva ostao živ nakon brutalnog napada: ,,Mogao je da me zakolje pred četvorogodišnjim sinom“ Grand
0 Hale Beri priznala da je četiri godine bila u celibatu: Bilo mi je u redu da ostanem sama Showbiz 0
6 Dao je otkaz preko noći, kupio drvenu kućicu i preselio se u šumu: „Nikad nisam bio srećniji“ Lifestyle 6
4 Evo u kojim zemljama možete da živite pristojno sa prosečnom srpskom platom - spremite se za "udarac realnosti" Lifestyle 4
0 Porodica i prijatelji do jutra slavili rođenje sina Milice Todorović: Među najveselijima bio ovaj pevač Showbiz 0
Kod kojih pitanja o deci AI može da pomogne roditeljima, a koji odgovori veštačke inteligencije mogu da budu opasni
0 "Srpska Monika Beluči" živi i radi na selu: Sada je pazarila mašinu od 13.000 evra koja će joj mnogo pomoći Showbiz 0
"Srpska Monika Beluči" živi i radi na selu: Sada je pazarila mašinu od 13.000 evra koja će joj mnogo pomoći Showbiz 0
Beli Preletačević se takmiči na Pesmi za Evroviziju: Bio kandidat za predsednika Srbije, a sad će pokušati Srbiju da predstavlja na muzičkom takmičenju Showbiz 0
Venčali se Iva Bojanović i Joca Stefanović: Pevači se u strogoj tajnosti zavetovali na večnu ljubav, a ovog kolegu su odabrali za kuma Showbiz 0
Vremenska prognoza za februar: Spremite se za padavine i vetar, a evo kolike će biti temperature Lifestyle 1
Bruklin Bekam nakon svađe sa celom porodicom prekrio tetovažu koju je posvetio ocu Dejvidu (FOTO) Showbiz 0
Spasojević (FPN): Antievropski zakoni ne nailaze na dovoljan otpor javnosti, deluje kao da vlast razmatra neki povratak u radikalski period
"Šest meseci nisam mogla da se skinem sa lekova": Rada Manojlović progovorila o teškom periodu i tome zašto nije spremna da ima decu
Velika akcija policije Severne Makedonije protiv ilegalne proizvodnje marihuane: Očekuje se zaplena desetina tona narkotika
0 Opra Vinfri svoj 72. rođendan proslavila u teretani: Voditeljka pokazala kako vežba u osmoj deceniji života (VIDEO)
2 Nemci pomeraju granice: Ovi radnici ići će u penziju s 57 godina, uz 95 posto plate i plaćene doprinose Lifestyle 2
20 Jakna od 800 evra rasprodata je za dan, a izgleda gore od one koju ste bacili prošle godine: Da li je ovo najbizarniji modni komad decenije? Lifestyle 20
5 Stigli rezultati velike studije o raku - stručnjaci tvrde: "Sad imamo informacije da ga sprečimo pre nego što počne" Zdravlje 5
24 Evropske zemlje s najvećim propisanim minimalcem: U jednoj iznosi skoro tri prosečne srpske plate, a pogledajte gde je Srbija na listi Priča se 24
Nova presuda Evropskog suda u slučaju srpskih državljana optuženih da su prevarili investitore za više od 70 miliona dolara
Kina i SAD u sukobu oko najbogatijeg svetskog ležišta dva retka metala: Kineskinja kažnjena zbog kršenja zakona
Vlast planira donošenje posebnog plana za Kalemegdan: Izgradnja gondole mogla bi da bude samo početak Biznis 4
"Mislim da je i Vučića sramota, pa je munjevito morao da reaguje": Zašto je Ustavni sud zabranio Vladanu Petrovu komunikaciju sa medijima Hronika 0
Studenti ne veruju da je Danica Grujičić protivnik vlasti: “Ne padamo na to, jasno je da će biti satelit SNS-a” Društvo 0
Zašto lakše trošimo novac koji „ne vidimo“ i da li je impulsivna kupovina oblik zavisničkog ponašanja
NOVA BAZA „Oterani“: Stručnjak smenjen zbog kolegijalnosti, sudija kažnjen zbog „Ceprisa“, inspektora progonili, posthumno ga proglasili za heroja Politika 0
NOVA BAZA „Oterani“: Direktor odbio da vodi naučnike na miting, inspektor zbog „Jovanjice“ proglašen za izdajnika, meteorolog otpušten jer se borio za čist vazduh Politika 0
NOVA BAZA „Oterani“: Lekar smenjen zbog kritikovanja ministra, tužiteljka progonjena jer je ukazala na bezakonje, general odbio da se odrekne veterana Politika 0
NOVA BAZA „Oterani“: Naučnik smenjen zbog Darije Kisić, tužiteljki se osvetio Nenad Stefanović, časni policajac postao „otac blokadera“ Politika 2
Neurohirurg (92) kaže da ovaj desert održava mozak mladim: Možete ga jesti svaki dan, ali pod jednim uslovom
1 VIDEO Dve osobe uhapšene u velikoj akciji policije u Zemunu: U garaži nađeno 500.000 psihoaktivnih tableta
0 Urušila se kuća u Džordža Vašingtona, uništeno nekoliko vozila: Policija i vatrogasci na terenu FOTO VIDEO
Spasojević (FPN): Antievropski zakoni ne nailaze na dovoljan otpor javnosti, deluje kao da vlast razmatra neki povratak u radikalski period Politika 0
Velika akcija policije Severne Makedonije protiv ilegalne proizvodnje marihuane: Očekuje se zaplena desetina tona narkotika Svet 0
Državni vrh još nije uručio Dositejeve diplome najboljim studentima: Da li se vlast plaši susreta sa njima Društvo 0
Ambasador SAD prekida sve veze sa šefom poljskog parlamenta: Odbio da lobira za to da Tramp dobije Nobelovu nagradu Svet 0
Sve više Ukrajinaca razmatra ono što je bilo nezamislivo: Putinu bi mogla da se ostvari najveća želja Svet 0
FOTO Gde ćemo opet gledati Novaka? Misteriozno završio govor u Australiji, a sada se iznenada pojavio poster Tenis 0
"Mlađa grupa, dovode se u vezu sa višemesečnim paljenjem lokala": Šta je pozadina napada na tri poznata beogradska restorana Hronika 0
"Okupljamo se tamo gde je sve počelo": Studenti saopštili mesto centralnog događaja na Sretenje, 15. februara Društvo 0
Novi album „Hades“ globalnog fenomena Melani Martinez u eksluzivnoj pretprodaji i na tržištu Srbije Showbiz 0
Saslušan mladić (20) iz Crne Gore osumnjičen za pokušaj ubistva: Prerušio se u dostavljača pa pucao u čoveka Hronika 0
Indijska ambasada Bobanu pet godina nije uplaćivala poreze i doprinose, oštećen za skoro 30.000 dolara: Priprema tužbu protiv države Indije Društvo 0