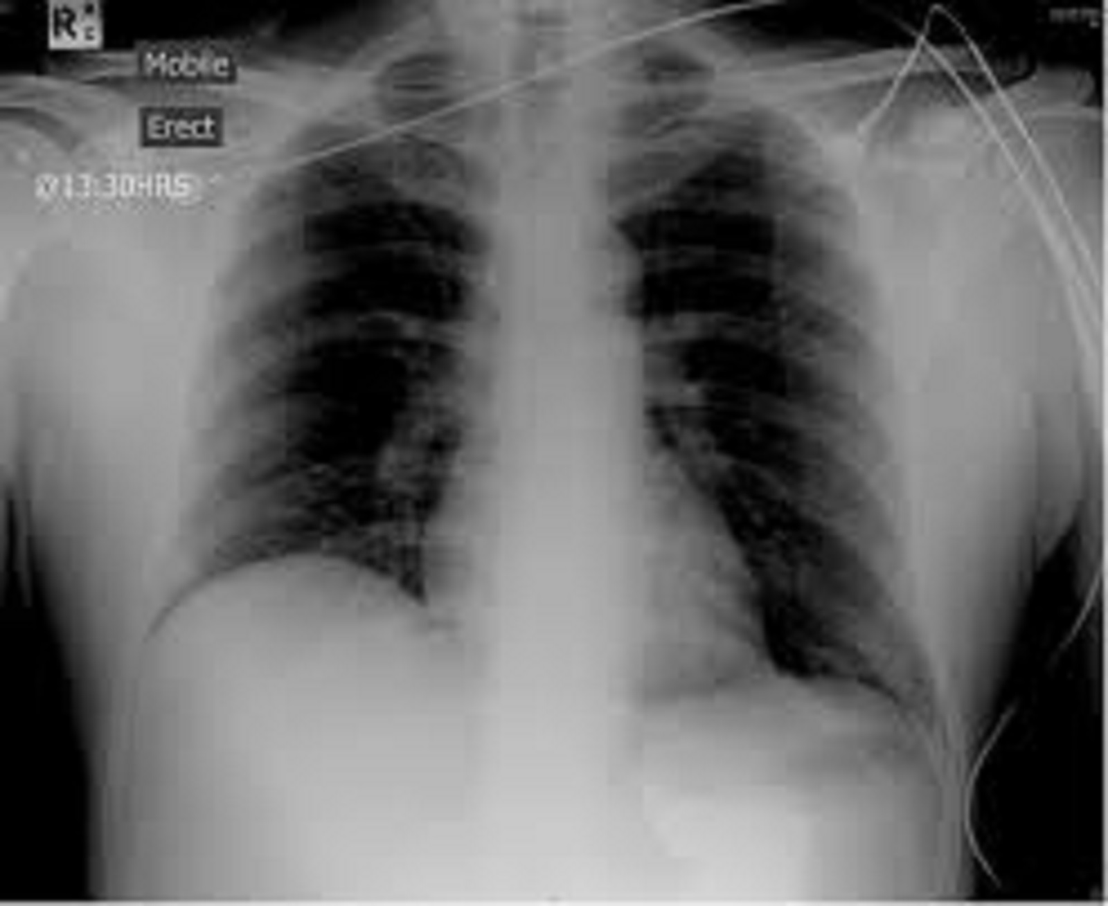
Dr Ivković je opisao svoje iskustvo Foto: Goran Srdanov/Nova.rs/Privatna arhiva Dr Ivković je opisao svoje iskustvo Foto: Goran Srdanov/Nova.rs/Privatna arhiva Dr Ivković je opisao svoje iskustvo Foto: Goran Srdanov/Nova.rs/Privatna arhiva Dr Ivković raskrinkava novu opasnu zaveru o koroni autor: Božica Luković Zdravlje 23. sep. 2021. 21:49 > 23. sep. 2021. 22:00 0 Podeli vest: Radiolog dr Aleksandar Ivković iz Niša od početka pandemije trudi se da pruži adekvatna objašnjenja za sve nedoumice koje prate koronavirus. Takođe, primerima iz svoje prakse bori se protiv mnogobrojnih teorija zavere koje unose dodatnu zabunu - a poslednja takva tvrdnja je da je virus SARS-CoV-2 zapravo arsenik. Podeli vest: Oglas Objavu dr Ivkovića prenosimo s njegovog bloga "Ljudi i ostale laži" u celosti."Zamolili su me da prokomentarišem tvrdnje prozarazaša da se ne radi o virusnoj infekciji SARS-CoV-2 već o masivnom i stalnom trovanju arsenikom. I pored ogromne želje da se valjam po podu držeći se za stomak od napada smeha, ipak ću napisati kako bi izgledalo kada bi neko trovao čitav svet, već skoro dve godine, arsenikom.Arsenik As je metaloid koji dolazi u četiri izotopa. Zanimljivo je da je neophodan za život u manjim količinama jer se nalazi u nekim enzimima. Toksičan je As2O3 dok postoje soli koje nisu toksične u nalaze se i nekim pesticidima. Poznati je bakteriostatik i nekada se koristio za lečenje sifilisa.Ako se udahne veća količina arsenika a to tvrde tvorci ove nove teorije dolazi do: vrtoglavice, glavobolje, konfuzije i teškog proliva.Prvo što se oseti je sledeće: metalni ukus u ustima i zadah na beli luk, ogromno lučenje pljuvačke, nemogućnost gutanja, krv u urinu, grčevi, gubitak kose, grčevi u stomaku, konvulzije (slično epi napadu), prekomerno znojenje, mučnina, povraćanje...Obavezno dolazi do promena na koži, posebno na koži prstiju, postaje tamno crvena. Sledeće strada jetra, nakon toga pluća pa bubrezi. Na kraju koma i smrt. Pluća kod akutnog trovanja arsenikomFoto: Aleksandar Ivković | Pluća kod akutnog trovanja arsenikomFoto: Aleksandar Ivković Pluća kod kovida-19Foto: Aleksandar Ivković | Pluća kod kovida-19Foto: Aleksandar Ivković Posledica dugog izlaganja su karcinomi, obično mokraćne bešike i leukemije.Simptomi nastaju brzo, u roku od 30 minuta. Odnosno nema nikakve sličnosti sa kovidom.Promene vidljive na plućima nastaju ako se arsenik pije. Slične su kao promene kod pušača i treba puno vremena da se razviju, godine. Kovid promene se razvijaju u 4 faze u roku od 15 danaNakon vlažnih snova prozarazaša vraćamo se u realan svet. Prosto ne znam da li je iko mogao da smisli luđu teoriju od ove. Zamislimo šta bi se desilo kada bi stvarno neko bacao arsenik sa neba i njime trovao ljude. Stradale bi sve biljke i životinje a prvo bi stradala deca.Sasvim suprotno od onoga što se događa. Prozarazaši obožavaju da lažu, da falsifikuju, da izmišljaju. Više ni ne pokušavaju da smisle nešto logično, sada su im teorije na granici komedije ali zato im bezobrazluk raste.Zamislite tek tvrdnje da je eto nekoliko ljudi umrlo iako su vakcinisani, mada jedan od njih nije ni vakcinisan. To im je dokaz da ne treba da se vakciniše a onih 30.000 mrtvih nevakcinisanih nisu dokaz. Ili sulude tvrdnje da je Indija najbolji primer kako ivermektin radi a procena umrlih u Indiji tokom naleta delte je čak do 4.7 miliona ljudi. Ako je neko lud da im poveruje", piše dr Ivković.***Bonus video:Pazite da ne preterate - Trovanje alkoholom Oglas video-cdn src="https://best-vod.umn.cdn.united.cloud/stream?asset=sortitrovanjealkoholomds-novas-worldwide&stream=hp1400&t=0&player=m3u8v&sp=novas&u=novas&p=n0v43!23t001"]Pratite nas i na društvenim mrežama:FacebookTwitterInstagram arsenik dr Aleksandar Ivković koronavirus kovid-19 teorija zavere Pratite nas na društvenim mrežama: Koje je tvoje mišljenje o ovoj temi? Učestvuj u diskusiji ili pročitaj komentare Budite prvi koji će ostaviti komentar Pošalji komentar Pročitaj komentare (0)
0 Pronađena nova krvna grupa posle 50 godina misterije: Lekari izvadili krv trudnice i gledali rezultate u čudu Nauka 0
3 Naučnik tvrdi da na planeti živi mnogo više ljudi nego što mislimo: Zvanično nas ima 8,2 milijardi, ali nezvanično... Nauka 3
1 Vodoinstalateri upozorili: Ovako postavljenom kupatilu prete začepljenja i poplave u najavi Lifestyle 1
1. "Izbiću ti četiri zuba, ne možete mi ništa, ja znam ljude“: Porodica Nikolić u paklu zbog bahatog građevinskog investitora, maltene ih zazidao, njihovi vapaji bez odgovora
3. "U ruševinama u Džordža Vašingtona bilo zarobljeno više osoba": ZLF tvrdi da je urušavanje posledica sistemskog zanemarivanja starih objekata
4. Neočekivana vest za Novaka, ovo mu se neće dopasti: U Melburnu iznenađenje na dan finala, mnogi su menjali planove
Čak ni najbogatiji ne mogu uvek da kupe Birkin: Zašto je najpoznatiju torbu na svetu skoro nemoguće nabaviti
0 Ostavka Miroslava Lajčaka posle pojavljivanja u Epstin dokumentima: Oglasio se premijer Slovačke Svet 0
0 SNS simpatizeri napali studente i građane: "Dvojica dobili direktne udarce u glavu, pozvana policija i hitna pomoć" Politika 0
0 SNS uzdanica Vukašin Đoković u klinču sa Novosađanima: Snimao okupljene građane i unosio im se u lica (VIDEO) Politika 0
0 Devet godina od zločina, nikada nismo bili dalje od istine: Mafijaška likvidacija u centru Beograda za koju policijski funkcioner kaže da su postojali dokazi, ali su - nestali Hronika 0
0 Orban u slobodnom padu: Opozicija vodi u svim anketama, u Fidesu razmatraju da li da ga se odreknu Svet 0
0 "Ukoliko ga sretnu pre mene, neka provere navode": Oglasio se Milo Đukanović o fajlovima Džefrija Epstina Svet 0
0 Ko je lepotica koja je očarala svet pred finale Australijan opena - muškarce će jedna stvar razočarati
0 "Mi smo na crnoj listi, mi smo zabranjeni": Bjelogrlić tvrdi da naši glumci iz "Svadbe" ne mogu da rade u Srbiji Film 0
"Neke stvari koje radim su čudne i mojim najbližima": Ovako Jelena Đoković brine o zdravlju i održava vitku liniju - pročitajte sve njene tajne Showbiz 0
Zašto lakše trošimo novac koji „ne vidimo“ i da li je impulsivna kupovina oblik zavisničkog ponašanja
Neurohirurg (92) kaže da ovaj desert održava mozak mladim: Možete ga jesti svaki dan, ali pod jednim uslovom
0 Ovo je najbolji način da skuvate testeninu: Dodajte samo jedan sastojak u vodu - nije ulje Gastro 0
22 Najbolja zemlja za penziju je omiljena letnja destinacija srpskih turista, a evo koliko bi trebalo da vam bude penzija da biste tamo mirno živeli Putovanja 22
27 Soko će voziti do jednog od omiljenih gradova naših turista za tri sata - da li je vredno rizika ako znamo šta se sve dešavalo? Putovanja 27
0 Urušila se kuća u Džordža Vašingtona, uništeno nekoliko vozila: Policija i vatrogasci na terenu FOTO VIDEO
3 Najveća zaplena droge u Srbiji: Policija otkrila pet tona marihuane, automatske puške, zolju i municiju u selu kod Kruševca
1 Pogledajte kako je uhapšen osumnjičeni za ubistvo navijača na Novom Beogradu: Pavlu (18) lisice stavljene u stanu u kom se krio VIDEO
0 "Udaljite se odavde!" Pripadnik policije u Kuli urlao na ekipu TV Nova, zabranio im da snimaju (VIDEO) Politika 0
0 Pogledajte kako su aktivisti SNS napali studente u Kuli: Gađali ih crvenom farbom, a lica pokrili belim maskama VIDEO Politika 0
0 Obraćanje kakvo Đoković nikada pre nije održao: "Pripremio sam šampionski govor, ne ovaj..." Tenis 0
Nedeljni horoskop od 2. do 8. februara 2026: Saturn (konačno!) izlazi iz znaka Riba i započinje potpuno novo poglavlje Zadovoljna
"Mi smo na crnoj listi, mi smo zabranjeni": Bjelogrlić tvrdi da naši glumci iz "Svadbe" ne mogu da rade u Srbiji Film 0
Žena je jela samo konzervirane sardine 70 dana, evo šta se dogodilo kad je izvadila rezultate Zdravlje 0
0 „Sjajan lik“: Prepiska Lajčaka i Epstina otkriva kako je planirana poseta Crnoj Gori i kako je pominjan Milo Đukanović Svet 0
„Sjajan lik“: Prepiska Lajčaka i Epstina otkriva kako je planirana poseta Crnoj Gori i kako je pominjan Milo Đukanović Svet 0
“On je apsolutni genije, ima 100 mega hitova”: Vlado Kalember za ovu jugoslovensku muzičku legendu rekao da je najveći na svetu City Magazine
Ko je lepotica koja je očarala svet pred finale Australijan opena - muškarce će jedna stvar razočarati Tenis 0
"Neke stvari koje radim su čudne i mojim najbližima": Ovako Jelena Đoković brine o zdravlju i održava vitku liniju - pročitajte sve njene tajne Showbiz 0
1. Najlepša voditeljka RTS-a završila težak fakultet: Decenijama je u skladnom braku, a zbog supruga se odlučila na nesvakidašnji potez
2. "Najbolja podrška koju sam ikad dobio u Australiji": Evo šta je Đoković obećao "kečapu" i "senfu" nakon što su mu skandirali čitav meč
5. "Dirnule su me te suze, svi oni su plakali sa mnom": Đoković otkrio dramatične scene koje niko ne može da vidi
6. Blagoje Pantelić i Vukašin Milićević isključeni iz SPC: Patrijarh Porfirije i Crkveni sud doneli odluku o "nepodobnima"
7. Direktor škole na Novom Beogradu tvrdi da ga proganjaju: "Plašim se za bezbednost, preteći pozivi stižu iz Izraela”
0 Ko je lepotica koja je očarala svet pred finale Australijan opena - muškarce će jedna stvar razočarati
Da li je ovo najbolja izvedba Sinana Sakića u Zvezdama Granda? Sergej Tadić naježio žiri: „Ovo odavno nisam čuo“ VIDEO Grand
0 INTERVJU „Trpela sam buling“: Favoritkinja na Dori sprema album, knjigu i film, a ima samo 22 godine Showbiz 0
17 "Kupili smo jeftinu kinesku montažnu kuću - pogledajte kako izgleda posle godinu dana" Lifestyle 17
5 Studija pokazala da oni koji jedu meso imaju više šanse da dožive 100. nego vegani, ali postoji caka Zdravlje 5
0 Američka miljenica koja - ćuti: Tejlor Svift na udaru jer se ne oglašava o haosu u zemlji Showbiz 0
0 Ovde uživa porodica Teodosić: Jelisaveta Orašanin pokazala luksuzan stan na Dorćolu (FOTO) Showbiz 0
Čak ni najbogatiji ne mogu uvek da kupe Birkin: Zašto je najpoznatiju torbu na svetu skoro nemoguće nabaviti
Čuvenog Randua iz "Kasandre" danas ne biste prepoznali: Pogledajte kako glumac izgleda u sedmoj deceniji FOTO Showbiz 0
0 "Moja sestra je posebna osoba sa običnim potrebama...": Naš glumac rano ostao bez oca, pa preuzeo brigu o porodici
0 Željko Mitrović zvao Gagija Jovanovića posle intervjua za Danas: „Nudio mi filmove da batalim proteste“
0 Žena je jela samo konzervirane sardine 70 dana, evo šta se dogodilo kad je izvadila rezultate Zdravlje 0
1 Neurohirurg (92) kaže da ovaj desert održava mozak mladim: Možete ga jesti svaki dan, ali pod jednim uslovom Zdravlje 1
2 Meteorolog Todorović dao prognozu za naredne dane: Toplija varijanta zimskog vremena zadržaće se do ovog datuma Lifestyle 2
17 "Kupili smo jeftinu kinesku montažnu kuću - pogledajte kako izgleda posle godinu dana" Lifestyle 17
Otvorena vrata katastra za građane: Ko ih je prethodno zatvorio i da li ih je samo odškrinuo u izbornoj godini
0 Pet pitanja na koje mora da odgovori istraga 5 tona marihuane nađene u firmi SNS odbornika Hronika 0
Pokrenuta istraga zbog rekordne zaplene više od pet tona marihuane, predložen pritvor za osumnjičene: Oglasio se JTOK Hronika 0
Šta otkrivaju rezultati glasanja i raspored snaga u Visokom savetu sudstva: Podobne sudije izglasane regularno, ali na silu Hronika 0
Meta u restoranu na Senjaku bio pripadnik Kekine grupe: Muškarac prerušen u dostavljača naoružan ušao u lokal, žena ga čekala ispred Hronika 0
Zašto lakše trošimo novac koji „ne vidimo“ i da li je impulsivna kupovina oblik zavisničkog ponašanja
„Dosadno, dosadno i dosadno“ Takmičari bez energije, Dara i Mili nisu štedeli reči: „Dajte da se nešto desi“
Ne zna se da li su lepše ili bolje pevaju: Minja i Nikolina oduševile žiri: „Sve je prštalo i zvonilo“ VIDEO
NOVA BAZA „Oterani“: Stručnjak smenjen zbog kolegijalnosti, sudija kažnjen zbog „Ceprisa“, inspektora progonili, posthumno ga proglasili za heroja Politika 0
NOVA BAZA „Oterani“: Direktor odbio da vodi naučnike na miting, inspektor zbog „Jovanjice“ proglašen za izdajnika, meteorolog otpušten jer se borio za čist vazduh Politika 0
NOVA BAZA „Oterani“: Lekar smenjen zbog kritikovanja ministra, tužiteljka progonjena jer je ukazala na bezakonje, general odbio da se odrekne veterana Politika 0
NOVA BAZA „Oterani“: Naučnik smenjen zbog Darije Kisić, tužiteljki se osvetio Nenad Stefanović, časni policajac postao „otac blokadera“ Politika 2
ISPOVEST Lazar Nikolić: "Treba da igram komediju, a na 100 metara od nas žena štrajkuje glađu. Kako?"
Neurohirurg (92) kaže da ovaj desert održava mozak mladim: Možete ga jesti svaki dan, ali pod jednim uslovom
0 Museti otkrio sve detalje najvećeg šoka u Australiji: Ne mogu to da vam opišem, vodim 2:0 protiv Novaka i moram da predam
0 "Na zlobu i osionost vlasti odgovaramo silom obrazovanja": Rektor Đokić pozvao na borbu za autonomiju univeziteta i dostojanstvo profesije
0 Poruka studenta za dekana Filozofskog fakulteta u Novom Sadu: "Više nije kontroverzan, sad je ozloglašen u celoj Srbiji" VIDEO
0 Novak izvodio poteze za TV špice i demolirao Italijana: Nervirao se, razgovarao sa sudijom, pa zablistao
"Udaljite se odavde!" Pripadnik policije u Kuli urlao na ekipu TV Nova, zabranio im da snimaju (VIDEO) Politika 0
Vučić očekuje napad na Iran u narednih 48 sati zbog skretanja pažnje sa novih Epštajnovih dokumenata Politika 0
Pogledajte kako su aktivisti SNS napali studente u Kuli: Gađali ih crvenom farbom, a lica pokrili belim maskama VIDEO Politika 0
Sudija naložio da petogodišnji dečak i njegov otac budu pušteni iz imigracionog pritvora u Teksasu Svet 0
Jovanović: Grad odgovoran za opasnost koju je izazvalo rušenje napuštene zgrade u centru prestonice Društvo 0
„Sjajan lik“: Prepiska Lajčaka i Epstina otkriva kako je planirana poseta Crnoj Gori i kako je pominjan Milo Đukanović Svet 0
Skup na Pravnom “Nešto ste rekli?”: Studenti svih fakulteta u amfiteatru zajedno prate Đokovića i poručuju “dabogda svi propali kao ti” Društvo 0
Ko je lepotica koja je očarala svet pred finale Australijan opena - muškarce će jedna stvar razočarati Tenis 0