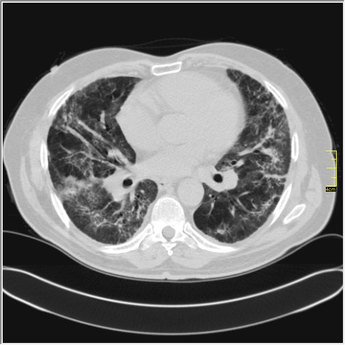
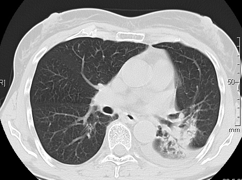
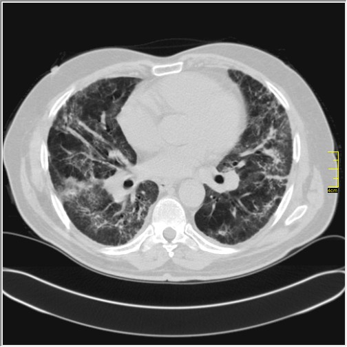
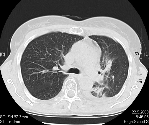
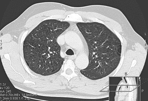
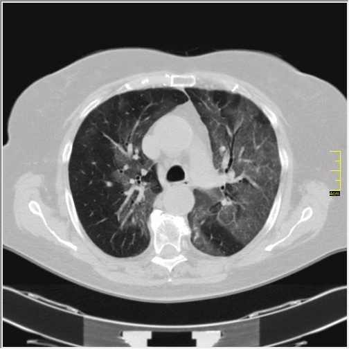
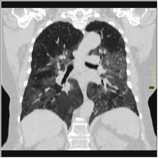
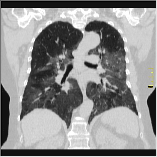
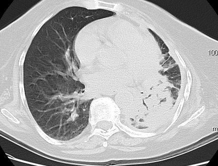
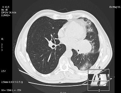
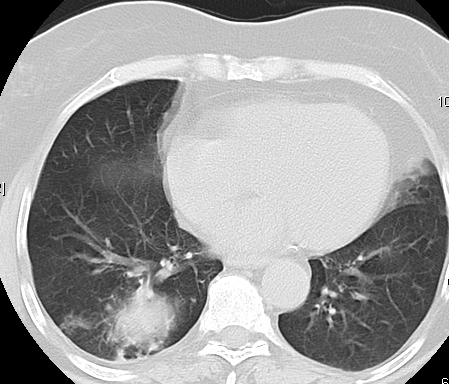
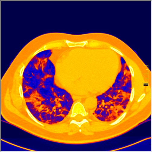
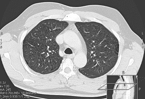
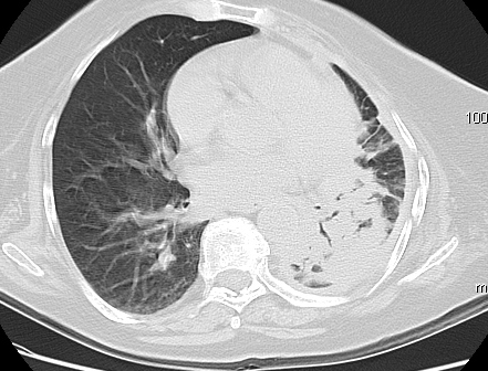
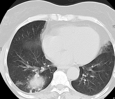
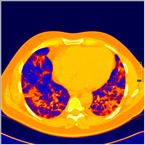
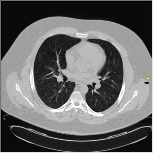
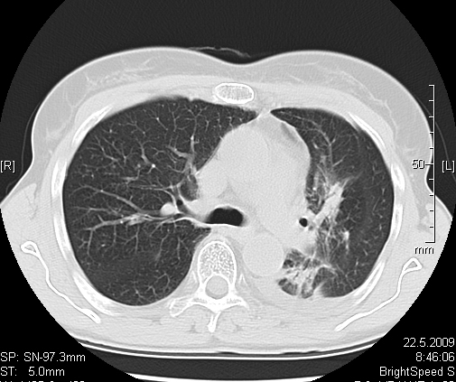
Foto: Aleksandar Ivković Foto: Aleksandar Ivković Foto: Aleksandar Ivković Strašna razlika kod pluća pušača i kovid pozitivne osobe autor: Božica Luković Zdravlje 23. jan. 2021. 12:06 > 23. jan. 2021. 12:15 0 Podeli vest: Radiolog Aleksandar Ivković od početka pandemije daje korisne informacije o svim aspektima kovida 19. On je nedavno uporedio rendgen snimke pluća zdrave osobe, pušača, osobe koja je zaražena gripom H1N1, a onda i osobe koja ima kovid 19. Razlike su zapanjujuće. Podeli vest: Oglas Objavu doktora Ivkovića sa njegovog bloga "Ljudi i ostale laži" prenosimo u celosti."Nedavno sam video u medijima da je neko preneo rdg sliku i razlike kod nalaza zdrave osobe, pušača i bolesnog od kovida 19. Kako nisam baš previše zadovoljan onim što je prikazano, evo kako to izgleda u našoj varijanti. Zdrava osoba CT nalaz kod zdrave osobe podrazumeva da ne postoje nikakvi poremećaji strukture plućnog parenhima, da su krvni sudovi uredni i da nema suženja disajnih puteva, kao i da nema uvećanih limfnih žlezda u hilusima pluća i medijastinumu. Foto: Aleksandar Ivković | Foto: Aleksandar Ivković * Foto: Aleksandar Ivković | Foto: Aleksandar Ivković Zdrava muška osoba mesec dana nakon zapaljenja pluća tokom kovida 19. Nalaz bez nekih posebnih problema iako se naziru tragovi zapaljenja. Snimak u boji je zdrava osoba, nepušač, bez ikakvih bolesti pluća u istoriji. Grip H1N1 Pokazaću samo drastične nalaze kod gripa H1N1, to je znači onaj grip koji je izazvao epidemiju španske groznice i epidemiju 2009. godine koja još uvek nije prestala (svake godine imamo makar 15%). Foto: Aleksandar Ivković | Foto: Aleksandar Ivković * Foto: Aleksandar Ivković | Foto: Aleksandar Ivković * Foto: Aleksandar Ivković | Foto: Aleksandar Ivković * Foto: Aleksandar Ivković | Foto: Aleksandar Ivković Nisu svi pacijenti imali ovakve nalaze, pokazujem one koji su imali tešku kliničku sliku. Kod gripa se sve odvija obično u sedam dana. Kao što se vidi, zapaljenje je bilo jednostrano, uglavnom. Ali kada je dolazilo do pogoršanja, onda je centralno obostrano dolazilo do edema pluća. Pušenje Kod pušača postoje razne varijante nalaza na plućima. U principu nisu tako dramatične kao što su zapaljenja. Nalaz na plućima kod pušača može biti potpuno normalan. Ovo ne pišem zato što podržavam pušenje, naprotiv, veliki sam protivnik, ali iznošenje laži nikada nije dobro. Dve dijagnoze su bitne kao posledica pušenja. Prva je hronična plućna opstruktivna bolest: Foto: Aleksandar Ivković | Foto: Aleksandar Ivković * Foto: Aleksandar Ivković | Foto: Aleksandar Ivković * Foto: Aleksandar Ivković | Foto: Aleksandar Ivković Jasna je razlika u nalazu, posebno na ovim slikama u boji, gde su ta plava polja delovi pluća koji su propali zbog cigareta (može da se uporedi sa zdravim plućima iznad).Druga bolest koja je česta kod pušača je u svakom slučaju karcinom. Foto: Aleksandar Ivković | Foto: Aleksandar Ivković * Foto: Aleksandar Ivković | Foto: Aleksandar Ivković * Foto: Aleksandar Ivković | Foto: Aleksandar Ivković * Foto: Aleksandar Ivković | Foto: Aleksandar Ivković Tkivo koje raste unutar pluća i razjeda ga. Takav je nalaz kod karcinoma pluća. Često je uzrok upotreba cigareta. Kovid 19 O kovidu sam pisao puno puta. Evo nekih slika, radi poređenja. Foto: Aleksandar Ivković | Foto: Aleksandar Ivković * Foto: Aleksandar Ivković | Foto: Aleksandar Ivković * Foto: Aleksandar Ivković | Foto: Aleksandar Ivković * Foto: Aleksandar Ivković | Foto: Aleksandar Ivković Nakon što pacijent bude izlečen od gripa ili kovida 19, pluća se mogu vratiti u normalu.To je razlika u odnosu na posledice upotrebe cigareta. Ovi snimci nisu postavljeni da bi se poredile bolesti, već da bi se ukazalo kako različite bolesti deluju na pluća. I ono što je veoma važno, ako neko dobije jednu od ovih bolesti, ne znači da u toku života neće dobiti drugu.Ne pišem zato smo smatram da sam najpametniji ili najpozvaniji da objašnjavam, nisam kao neki pojedinci ubeđen da samo ja imam znanje i istinu, pišem jer drugi ćute. Pišem jer ima i puno onih koji iznose laži, mora se tome stati na put.A ovi, koji pišu da sam umro, da sam oboleo od karcinoma, ovi koji mi žele da nađem dobro grobno mesto, šta da vam kažem, vi ste mi inspiracija. Svesni ste da sam u pravu i odlično znam da ste već uradili sve da se vakcinišete i mnogi od vas će to uraditi pre mene ali i dalje ćete ubeđivati druge da se ne vakcinišu i da je dobro za njih da se razbole i umru. Ima puno reči za vas u svim našim slovenskim jezicima, znate vi sami šta ste", piše dr Ivković.***Bonus video:https://youtu.be/MWucTT0qBsIPratite nas i na društvenim mrežama:FacebookTwitterInstagram Dr Lukić otkrio spisak svih antibiotika za kovid upalu pluća Zdravlje 0 Dr Žujović: Kako oporaviti pluća posle korone Zdravlje 0 Pet znakova da ti je kovid zahvatio pluća Zdravlje 0 Virusolog Ana Banko ruši veliku zabludu o ruskoj vakcini Emisije 0 aleksandar ivković korona kovid pluća snimak pluća Pratite nas na društvenim mrežama: Koje je tvoje mišljenje o ovoj temi? Učestvuj u diskusiji ili pročitaj komentare Budite prvi koji će ostaviti komentar Pošalji komentar Pročitaj komentare (0)
0 Svi treba da čuju šta se desilo Niku Mijailoviću, 15-godišnjaku kojem je posvećena epizoda Netfliksove hit serije Priča se 0
0 Na samo nekoliko sati od Srbije pronađen rimski brod star 2.200 godina: „Otkriće koje otvara vrata prošlosti“ Nauka 0
15 Srbi probali najpopularnije piće u Americi i svi kažu isto: "Ovo je kao da piješ tečnu Pavlovićevu mast" Lifestyle 15
0 Ovo je najmanja mačka na planeti - izgleda kao igračka i može da stane na dlan: Deluje nežno, a zapravo... Lifestyle 0
2. Kako izgleda "seča" profesionalnih novinara na RTS-u: Urednicu degradirali na poziciju spikerke, uključivanje studenata u program "kap koja je prelila čašu"
3. Vučić uporedio rejtinge SNS i studenata iz istraživanja Ipsosa: Evo kako stoje stvari, ako mu verujete
1 OTKRIVAMO Još 20 specijalaca planira da napusti SAJ, jedinica sve više liči na JSO - pevaju njihove koračnice Hronika 1
0 Haos u Inđiji: Direktor komunalnog preduzeća uklanja transparent "Studenti pobeđuju", predsednik Opštine ga snima Politika 0
0 Slovenački Dnevnik piše o mogućoj prodaji N1 i drugih medija: Očekuju se vlasničke promene, Alpac Capital zainteresovan za kupovinu Društvo 0
Glumci iz "Prijatelja" i danas zarađuju milione od te serije: Od repriza ostvaruju ogromne prihode na godišnjem nivou
Aktivistu Zbora Rakovica nepoznati muškarci tukli i ubacili u automobil bez registarskih oznaka, ne znaju gde je
0 Prva fotka žene Alekse Balaševića posle porođaja: Olivera joj uputila emotivnu poruku (FOTO) Showbiz 0
Glumci iz "Prijatelja" i danas zarađuju milione od te serije: Od repriza ostvaruju ogromne prihode na godišnjem nivou Showbiz 0
"Moja starija ćerka nema komunikaciju sa ocem, iako je živ": Nikolina Pišek progovorila o roditeljstvu Showbiz 0
Otkrivena tajna pesme "Dam dam dam": Trebalo je da je otpeva ovaj pevač, a onda je došla u Prijovićkine ruke Showbiz 0
"Jedan hit me je probio na bugarsko tržište": Naš pevač o zaradi i stvarima koje nikad ne bi radio zbog novca Showbiz 0
Zašto lakše trošimo novac koji „ne vidimo“ i da li je impulsivna kupovina oblik zavisničkog ponašanja
Više od 70% smrtnih ishoda u Srbiji povezano je s ovim problemom, a ljudi odustaju od lečenja: "To je društveni, a ne lični neuspeh“
Studija u Engleskoj dovela do jezivog otkrića: Za svako 14. dete koje premine utvrđeno da su mu roditelji u srodstvu
0 Gde su srpski vladari najviše voleli da idu na odmor? Mnogo bliže nego što bi neki pomislili Putovanja 0
9 Slovenka otišla u Hrvatsku, pa ostala u šoku - ne zbog cena po restoranima: "Ako je ovo početak sezone, šta nas tek čeka?" Putovanja 9
2 "Recept za vodenu pitu moje bake koja se spremala kad više nije bilo ničega u kući, a preukusna je" Gastro 2
3 6 zemalja koje mogu da se prepešače za jedan dan: Jedna od njih važi za mesto na kojem žive samo bogataši Putovanja 3
0 Puca naftni kartel: Emirati povukli potez koji menja pravila igre, Tramp trlja ruke, a svet tek čekaju posledice Svet 0
0 Vučić uporedio rejtinge SNS i studenata iz istraživanja Ipsosa: Evo kako stoje stvari, ako mu verujete Politika 0
0 Aktivistu Zbora Rakovica nepoznati muškarci tukli i ubacili u automobil bez registarskih oznaka, ne znaju gde je Društvo 0
"Studenti pobeđuju" ili "Srbija pobeđuje" - koji slogan je bolji: Politikolog objašnjava razlike između studentske i naprednjačke parole Politika 0
Gde su srpski vladari najviše voleli da idu na odmor? Mnogo bliže nego što bi neki pomislili Putovanja 0
Isplivale nove fotografije sa Melininog venčanja: Crna haljina i dijamanti vredni čitavo bogatstvo FOTO/VIDEO Showbiz 0
0 Prva fotka žene Alekse Balaševića posle porođaja: Olivera joj uputila emotivnu poruku (FOTO) Showbiz 0
Prva fotka žene Alekse Balaševića posle porođaja: Olivera joj uputila emotivnu poruku (FOTO) Showbiz 0
Otkrivena tajna pesme "Dam dam dam": Trebalo je da je otpeva ovaj pevač, a onda je došla u Prijovićkine ruke Showbiz 0
INTERVJU "Nikada ne zapadam u kredite i dugove": Neda Ukraden o karijeri i novcu, Zorici Brunclik i snimku Vesne Zmijanac Showbiz 0
Slovenački Dnevnik piše o mogućoj prodaji N1 i drugih medija: Očekuju se vlasničke promene, Alpac Capital zainteresovan za kupovinu Društvo 0
1. Sastav Partizana za Superligu: Penjaroja otpisao petoricu stranaca uz jedno negativno iznenađenje, povratak će oduševiti navijače
2. Izgradili su najveću veštačku reku na svetu dugu 2.700 kilometara koja može da spase 185 miliona ljudi
3. Najplaćeniji trener planete napravio carstvo nekretnina: Ima više od 180 stanova, a evo koliko zarađuje samo od kirija
4. Studenti okačili transparent, tri policijske marice pristigle da ih legitimišu: Kažu da je Vukašin Đoković Ćaci pokušao da im otme VIDEO
5. "Sada radimo sve ankete, sve fokus grupe, sve krizne grupe...": Intervju Aleksandra Vučića za Blerovog spin doktora i potvrda njegove kandidature za premijera
7. Živi u Ljubljani, radi u Dubaiju i govori pet jezika: Dara Bubamara u vezi sa 20 godina mlađim zgodnim manekenom? (FOTO)
Isprobala sam 4 najbolje povoljne alternative za Dyson Airwrap – evo šta zaista vredi kupiti Zadovoljna
0 Glumci iz "Prijatelja" i danas zarađuju milione od te serije: Od repriza ostvaruju ogromne prihode na godišnjem nivou Showbiz 0
0 "Moja starija ćerka nema komunikaciju sa ocem, iako je živ": Nikolina Pišek progovorila o roditeljstvu Showbiz 0
0 "Jedan hit me je probio na bugarsko tržište": Naš pevač o zaradi i stvarima koje nikad ne bi radio zbog novca Showbiz 0
0 „Ovo nisu nokti iz viktorijanske ere, ovo je čista 2026. godina“: Gledaoci uočili grešku u nastavku popularnog filma FOTO Film 0
0 Relja predvideo budućnost? Novi album izašao istog dana kada i misija na Mesec – a već ima i skandalozne goste Showbiz 0
0 "Kao pravi Bosanci": Pevačica uživala sa mužem milionerom na plaži na Floridi, pa izvadila paštetu i hleb Showbiz 0
0 Temperaturni obrt, biće i snega: Meteorolog Sovilj otkrio u kojim će krajevima biti padavina za prvomajske praznike, a u kojim neće Vremenska prognoza 0
15 Srbi probali najpopularnije piće u Americi i svi kažu isto: "Ovo je kao da piješ tečnu Pavlovićevu mast" Lifestyle 15
0 "Najteže nam je bilo sa likovima Tita i Golubića jer su bili špijuni": Scenarista "Senki nad Balkanom" o tome kako je nastala priča treće sezone Film 0
"Najteže nam je bilo sa likovima Tita i Golubića jer su bili špijuni": Scenarista "Senki nad Balkanom" o tome kako je nastala priča treće sezone Film 0
Živi u Ljubljani, radi u Dubaiju i govori pet jezika: Dara Bubamara u vezi sa 20 godina mlađim zgodnim manekenom? (FOTO) Showbiz 0
Smene u beogradskim pozorištima: Umesto Latinovića, Filip Gajić novi v.d. Bitef teatra, a nastavnik likovnog na čelu Puls teatra Kultura 10
"Šta joj se desilo?": Izgled glumice koju smo obožavali u seriji "Dr Haus" zabrinuo mnoge FOTO/VIDEO Showbiz 0
Novi muž Meline Džinović ima još jedan unosan biznis: Iznajmljuje luks jahtu za 70.000 € nedeljno - evo šta sve ulazi u cenu Showbiz 0
Glumci iz "Prijatelja" i danas zarađuju milione od te serije: Od repriza ostvaruju ogromne prihode na godišnjem nivou
Aktivistu Zbora Rakovica nepoznati muškarci tukli i ubacili u automobil bez registarskih oznaka, ne znaju gde je
"Moja starija ćerka nema komunikaciju sa ocem, iako je živ": Nikolina Pišek progovorila o roditeljstvu
0 Volela je problematične muškarce, a onda kolegu optužila za zlostavljanje: Ispovest čuvene glumice šokirala ceo svet
0 Zvezda "Prijatelja" otkrila šta se dešavalo iza kulisa: "Zatvorili bi se u sobu i krenule bi fantazije"
0 11 vrsta raka sve češće među mladima, naučnici misle da su pronašli prvi trag o tome zašto se to događa: Jedini trend koji se poklapa sa rastom obolevanja Zdravlje 0
0 Temperaturni obrt, biće i snega: Meteorolog Sovilj otkrio u kojim će krajevima biti padavina za prvomajske praznike, a u kojim neće Vremenska prognoza 0
Želite da se preselite u Španiju? Novi kalkulator troškova života otkriva koje gradove možete da priuštite
0 Kamion u suprotnom smeru kod Dobanovaca: Objavljen snimak nesavesnog vozača kod isključenja sa auto-puta Hronika 0
Pastor otkrio da li bi posle izbora u koaliciju sa SNS:"Ići ćemo na vanredne izbore samostalno" Politika 0
Zašto lakše trošimo novac koji „ne vidimo“ i da li je impulsivna kupovina oblik zavisničkog ponašanja
Šokiraćete se kada čujete koliko košta prsten kojim je Džefri Arnold verio Melinu, cifra je nenormalna
Emina Mijatović zaboravila tekst pred nastup, otkrila kroz šta je prošla: „Ne znam gde se nalazim, osetila sam pad“ VIDEO
Savo Perović može duže od Dare Bubamare? Pevač postavio novi rekord: „Svi su željni od 4 do pola 7“ VIDEO
NOVA BAZA „Oterani“: Stručnjak smenjen zbog kolegijalnosti, sudija kažnjen zbog „Ceprisa“, inspektora progonili, posthumno ga proglasili za heroja Politika 0
NOVA BAZA „Oterani“: Direktor odbio da vodi naučnike na miting, inspektor zbog „Jovanjice“ proglašen za izdajnika, meteorolog otpušten jer se borio za čist vazduh Politika 0
NOVA BAZA „Oterani“: Lekar smenjen zbog kritikovanja ministra, tužiteljka progonjena jer je ukazala na bezakonje, general odbio da se odrekne veterana Politika 0
NOVA BAZA „Oterani“: Naučnik smenjen zbog Darije Kisić, tužiteljki se osvetio Nenad Stefanović, časni policajac postao „otac blokadera“ Politika 2
ISPOVEST - "Sinan je odjednom počeo da plače": Pevač iz Loznice otkriva kako je Sakić proveo poslednje dane
0 Zdravo Misli: gosti su prof. dr Dušan Škiljević, Miodrag Piroški autor emisije Vrele gume i Jovana Simić, farmaceut Emisije 0
Više od 70% smrtnih ishoda u Srbiji povezano je s ovim problemom, a ljudi odustaju od lečenja: "To je društveni, a ne lični neuspeh“
Studija u Engleskoj dovela do jezivog otkrića: Za svako 14. dete koje premine utvrđeno da su mu roditelji u srodstvu
1 Pogledajte snimak hapšenja "kavčanina" u restoranu u Beogradu: UKP mu prišao sa leđa dok je sedeo za stolom VIDEO
0 VIDEO Pretili žrtvi i njegovoj porodici, uhapšeni prilikom primopredaje 1.000 evra: Sprektakularna akcija policije u Beogradu
Aktivistu Zbora Rakovica nepoznati muškarci tukli i ubacili u automobil bez registarskih oznaka, ne znaju gde je Društvo 0
Najveća humanitarna akcija do sada u Šapcu: Građani masovno donirali krv za mladića povređenog u nesreći na auto-putu Društvo 0
"Studenti pobeđuju" ili "Srbija pobeđuje" - koji slogan je bolji: Politikolog objašnjava razlike između studentske i naprednjačke parole Politika 0
„Ovo nisu nokti iz viktorijanske ere, ovo je čista 2026. godina“: Gledaoci uočili grešku u nastavku popularnog filma FOTO Film 0
Relja predvideo budućnost? Novi album izašao istog dana kada i misija na Mesec – a već ima i skandalozne goste Showbiz 0
Puca naftni kartel: Emirati povukli potez koji menja pravila igre, Tramp trlja ruke, a svet tek čekaju posledice Svet 0
Izbori za studentski parlament na Pravnom u Novom Sadu: Ubedljiva pobeda liste koju podržavaju studenti u blokadi Društvo 0
INTERVJU "Nikada ne zapadam u kredite i dugove": Neda Ukraden o karijeri i novcu, Zorici Brunclik i snimku Vesne Zmijanac Showbiz 0
Ziđin je Boranima doneo plate, ali i oduzeo kiseonik i zdravlje: Stope kancerogenih metala u vazduhu obaraju rekorde Društvo 0
Đorđe iz Tap 011 tvrdi da Ivana Peters nije izbačena iz benda, a evo zašto su je uklonili iz Viber grupe Showbiz 0