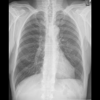
Foto: EPA/FRANCK ROBICHON, Privatna arhiva Foto: EPA/FRANCK ROBICHON, Privatna arhiva Foto: EPA/FRANCK ROBICHON, Privatna arhiva Srpski doktor raskrinkao teoriju zavere o koroni i sarinu autor: Božica Luković Zdravlje 11. nov. 2020. 11:33 > 16. jan. 2021. 11:01 0 Podeli vest: Koronavirus prate razne teorije zavere, koje utiču na to da ljudi ne nose maske i da se generalno ponašaju neodgovorno. Jedna od najapsurdnijih je da je virus zapravo bojni otrov sarin koji je među narod pustila Amerika. Srpski radiolog Aleksandar Ivković objasnio je zašto je to potpuno netačno. Podeli vest: Oglas Još u martu počele su da se pojavljuju informacije da korona ne postoji, već da je prvo na ljude u Kini, a zatim i na celu planetu, pušten bojni otrov sarin. Navodno su simptomi jako slični, kao i šteta po organizam.Recimo, ovo je jedna objava u kojoj se tvrdi upravo to. NIJE CORONA NEGO - SARIN !!! SVE JE LAZ!Ovo su za sada najpouzdanije informacije o prevari veka pod velom...Objavljuje Kravo u Četvrtak, 26. ožujka 2020. Oglas Ukratko, sarin su ispustili američki vojnici kada su imali vežbu u Kini. Simptomi su "nos koji curi, stiskanje u grudima - ubrzo nakon toga osoba ima poteškoće sa disanjem, gubi kontrolu nad telesnim funkcijama, pa povraća i mokri. Ovi simptomi se mogu uporediti upravo sa kovidom 19", tvrde pobornici ove sulude teorije.Srpski radiolog Aleksandar Ivković je na svom blogu "Ljudi i ostale laži" raskrinkao ovu teoriju zavere. Objavu prenosimo u celosti."Jedna od omiljenih teorija zavera je da ne postoji virus SARS-CoV-2 već se iz aviona ispušta gas sarin i da su svi u svetu udruženi da sakriju istinu, pa eto oni bez formalnog znanja uvek bolje znaju i oni su otkrili to. Ne očekujem da znaju kako izgleda trovanje sarinom. Zato ja znam.Pre par godina sam pisao neki rad o terorističkim napadima i njihovom delovanju na pluća. Među njima je obrađen i sarin. Hajde da uporedimo.Sarin je je organofosforno jedinjenje sa formulom (CH3)2CHO]CH3P(O)F. On je bezbojna, bezmirisna tečnost. Virus SARS-CoV-2 ima oko 5 miliona molekula u svojoj građi i RNK koja prenosi informacije koje virus nosi. Ali hajde, poklapa se bezbojno i bezmirisno. I jedno i drugo su u vazduhu.Sarin deluje na motorni ili parasimpatički neuron, SARS-2 na ACE-2 receptore koji se nalaze u plućima, crevima, mišićima, jetri, bubrezima a izaziva zapaljenja korteksa mozga. Ne poklapa se ništa.Sarin otpušta neuroprenosnik acetilholin koji prenosi impuls do mozga. Nakon toga enzim acetilholinesteraza razlaže acetilholin da bi se mišić opustio. Sarin remeti rad nervnog sistema tako što sa holinesterazom gradi kovalentnu vezu na mestima u kojim bi normalno acetilholin podlegao hidrolizi. Zbog ovoga se nervni impulsi kontinuirano prenose. Dolazi do naglog suženja zenica (na slici) SARS-2 se vezuje za ACE-2 receptore i prodire u ćeliju gde se multiplicira. Opet se ne poklapa ništa. Foto: EPA/FRANCK ROBICHON | Foto: EPA/FRANCK ROBICHON Početni simptomi nakon izlaganja sarinu su nos koji curi, stiskanje u grudima. Ubrzo nakon toga osoba ima poteškoće sa disanjem, gubi kontrolu nad telesnim funkcijama, pa povraća i mokri. Udisanje sarina ili dodir sa njim preko kože je jednako opasan. Čak i koncentracija pare je dovoljna da brzo prodire u kožu. Ljudi koji se izlože sarinu, a ne dobiju odgovarajući tretman mogu imati posledice za čitav život. Osnovno je simptomi nastaju naglo. Simptomi kovida-19 nastaju polako, iz dana u dan se menjaju i pojčavaju. Ne gubi se kontrola nad telesnim funkcijama. Žalim, ni slično.Kako izgledaju pluća nakon udisanja sarina? Trovanje počinje nekoliko sekundi nakon udisanja, naglo. Javlja se prvo edem disajnih puteva, onda suženje disajnih puteva, ako se ne leči dolazi do pucanja alveola. To se sve desi u roku od nekoliko minuta do par sati. Opet ni slično kovidu-19. Oglas Foto: Aleksandar Ivković | Foto: Aleksandar Ivković Sarin je bio u upotrebi u Siriji. Ovo su pacijenti koji su bili izloženi 2018 i 2019 i preživeli. Na prvom snimku nema nekih značajnih promena. Iskusno oko može da vidi znake edema disajnih puteva. Foto: Aleksandar Ivković | Foto: Aleksandar Ivković Kod ovog pacijenta se već vide promene ali i one nisu posebno značajne. Oglas Foto: Aleksandar Ivković | Foto: Aleksandar Ivković Ovo je 12 sati nakon udisanja, došlo je do značajnih oštećenja i pucanja alveola. Foto: Aleksandar Ivković | Foto: Aleksandar Ivković Ovo je kovid-19. Nema nikakve sličnosti sa nalazom nakon trovanja sarinom.Prosto vas molim da prekinete sa iznošenjem potpunih gluposti kao što je ova sa sarinom. Razumem da vas nebuloze privlače, ali ako vam je do njih gledajte filmove, tamo ih ima koliko god vam je volja.Time što negirate postojanje virusa to ne govori ništa o njemu, već samo o vama. Kako da vas iko shvati iole ozbiljno? Ozbiljnije priče se čuju od dece", napisao je radiolog.***Bonus video:https://www.youtube.com/watch?v=ufUqk8k_rA4Pratite nas i na društvenim mrežama:FacebookTwitterInstagram Aleksandar Ivković koronavirus sarin Pratite nas na društvenim mrežama: Koje je tvoje mišljenje o ovoj temi? Učestvuj u diskusiji ili pročitaj komentare Budite prvi koji će ostaviti komentar Pošalji komentar Pročitaj komentare (0)
0 Nemci pomeraju granice: Ovi radnici ići će u penziju s 57 godina, uz 95 posto plate i plaćene doprinose Lifestyle 0
9 Jakna od 800 evra rasprodata je za dan, a izgleda gore od one koju ste bacili prošle godine: Da li je ovo najbizarniji modni komad decenije? Lifestyle 9
14 Evropske zemlje s najvećim propisanim minimalcem: U jednoj iznosi skoro tri prosečne srpske plate, a pogledajte gde je Srbija na listi Priča se 14
0 U jednom kraju Srbije ledeni dan, u drugom do 13 stepeni: RHMZ prognoza do kraja nedelje Lifestyle 0
1. Imenovan novi načelnik Službe za droge: Umesto čoveka koji je otkrio 5 tona marihuane, postavljen kadar iz JZO
2. "Ne postoje ti uslovi za koje bi Aleksandra Prijović trenutno došla da peva na romsko veselje": Harmonikaš otkrio sve - "Tražila je da se obrišu snimci"
3. FOTO Pogledajte gde je Novak sleteo iz Australije: Odmah su na aerodromu skočili da se fotografišu sa njim
4. Roditelji: Direktor Jovine gimnazije optužio Maju Gojković i Žarka Mićina za raseljavanje đaka, dostavio i dokaze
0 Rajić: Sudija se prema Selakoviću ponaša kao da je infantilan i da mu treba staratelj, a ne kao da ima pet branilaca
0 Vanja Bulić objavio nikad viđenu fotografiju sa venčanja Dragana i Maje Bjelogrlić: Pogledajte kako su mladenci izgledali FOTO
0 "Dok sam ja predsednik, Srbija je na evropskom putu": Vučić tvrdi da je spreman da sa EU prispita Mrdićeve zakone
0 Trejdovan Vanja Marinković, bio neophodan da se desi razmena: Rajaković dobija zvezdu koja će biti otpuštena
6 Učenika Pete gimnazije koji je javno govorio o direktorki Danki Nešović tri sata ispitivali: Moguća disciplinska mera udaljavanje iz škole Društvo 6
18 Direktor PIO Fonda u predizbornoj kampanji: Naprednjaci počeli s kupovinom glasova penzionera VIDEO Politika 18
0 "Hvalio se da je išao u lov na ljude": Pojavio se prvi osumnjičeni u slučaju "Sarajevo safari" Svet 0
0 Odbornik Kreni-Promeni Aleksandar Jovanović zaustavio nelegalne radove u Kneza Miloša VIDEO Politika 0
0 Sukob građana i maskiranog obezbeđenja na gradilištu u Kneza Miloša: Policija stajala i gledala VIDEO Društvo 0
7 Jedan mesec 40.000 dinara, drugi 60.000, treći 80.000… Nemanja u šoku zbog računa za struju, pogledajte šta mu radi EPS Biznis 7
VIDEO Jokićev tripl-dabl za istoriju u hramu košarke: Ludačka drama završena posle dva produžetka, Srbin radio šta je hteo
Studenti ne veruju da je Danica Grujičić protivnik vlasti: “Ne padamo na to, jasno je da će biti satelit SNS-a”
0 Janakopulos se oglasio zbog skandala trenera Olimpijakosa: "Nijedan „patuljak“ nema pravo da uzima Panatinaikos u svoja usta"
0 FOTO Pogledajte gde je Novak sleteo iz Australije: Odmah su na aerodromu skočili da se fotografišu sa njim
"Ili ga ubij ili se razvedi": Petar Mitić i Ivana Pavković nakon skandala progovorili o svom odnosu Showbiz 0
Stižu čak četiri filma o Bitlsima, svaki član dobiće svoju priču: Iza svega stoji slavni reditelj, a postava je zvezdana Film 0
Zašto lakše trošimo novac koji „ne vidimo“ i da li je impulsivna kupovina oblik zavisničkog ponašanja
Neurohirurg (92) kaže da ovaj desert održava mozak mladim: Možete ga jesti svaki dan, ali pod jednim uslovom
0 Iskusni putnici ostaju na aerodromu zbog ovog nepoznatog pravila: Detalj o kojem ne razmišljate kad pokazujete pasoš, a mogao bi da vam upropasti put Putovanja 0
0 Uđi, prespavaj, prodaj: Novi koncept putovanja privlači sve više turista, termini popunjeni dve godine unapred Putovanja 0
11 Nikoli su za kamenu kuću nudili tri hotela u Dubaiju, ali je rekao - ne: Kad vidite kako izgleda, sve će vam biti jasno Putovanja 11
20 Objavljena lista evropskih zemalja koje turisti ne žele da posete: Na spisku je Srbija - evo na kom mestu smo završili Putovanja 20
2 Pet tona droge stiglo iz firme u Skoplju osnovane 2023. godine, čiji je vlasnik Srbin i posluje u gubitku: Novi detalji istorijske zaplene u selu Konjuh
1 VIDEO Dve osobe uhapšene u velikoj akciji policije u Zemunu: U garaži nađeno 500.000 psihoaktivnih tableta
0 Studenti ne veruju da je Danica Grujičić protivnik vlasti: “Ne padamo na to, jasno je da će biti satelit SNS-a” Društvo 0
0 Uhapšen muškarac koji je bacio bombu na kuću Zdravka Čolića: Traga se za još jednom osobom Hronika 0
0 "Hvalio se da je išao u lov na ljude": Pojavio se prvi osumnjičeni u slučaju "Sarajevo safari" Svet 0
0 VIDEO Jokićev tripl-dabl za istoriju u hramu košarke: Ludačka drama završena posle dva produžetka, Srbin radio šta je hteo Košarka 0
0 Ko su Hrvati u Epstinovim fajlovima: Jedan mu nudio hrvatske manekenke, pominju se poznata voditeljka, naučnici Svet 0
Rajić: Sudija se prema Selakoviću ponaša kao da je infantilan i da mu treba staratelj, a ne kao da ima pet branilaca Hronika 0
Vanja Bulić objavio nikad viđenu fotografiju sa venčanja Dragana i Maje Bjelogrlić: Pogledajte kako su mladenci izgledali FOTO Showbiz 0
"Dok sam ja predsednik, Srbija je na evropskom putu": Vučić tvrdi da je spreman da sa EU prispita Mrdićeve zakone Politika 0
Trejdovan Vanja Marinković, bio neophodan da se desi razmena: Rajaković dobija zvezdu koja će biti otpuštena Košarka 0
"Zbog pretnji noću ne idem nigde, preko dana samo ako moram": Robert je odbio da vozi autobus sa pristalicama SNS, a onda mu se život pretvorio u pakao Politika 0
0 Privedeni simpatizeri Milana Nedića: Zaobišli policiju i naoružani palicama i kaiševima pokušali da priđu antifašistima Hronika 0
Privedeni simpatizeri Milana Nedića: Zaobišli policiju i naoružani palicama i kaiševima pokušali da priđu antifašistima Hronika 0
"Prvi ministar iz SNS na optuženičkoj klupi, blizak Vučićev saradnik": Svetski mediji o suđenju Nikoli Selakoviću Politika 0
Prete li Srbiji posle "Mrdićevih zakona" i "Odalovićevi zakoni"?: MUP na mala vrata pokušava da progura rešenja koja su "pala" dva puta Hronika 0
"Ili ga ubij ili se razvedi": Petar Mitić i Ivana Pavković nakon skandala progovorili o svom odnosu Showbiz 0
1. Vanja Bulić objavio nikad viđenu fotografiju sa venčanja Dragana i Maje Bjelogrlić: Pogledajte kako su mladenci izgledali FOTO
2. Antifašisti i simpatizeri Milana Nedića u centru Beograda: Dupli kordoni policije razdvajaju dve grupe
4. Kako je skoro 4.000 pacijenata za pet dana nestalo sa liste čekanja samo za jednu operaciju: Vučić podviknuo na Lončara, pa se spisak drastično smanjio
6. "Zbog pretnji noću ne idem nigde, preko dana samo ako moram": Robert je odbio da vozi autobus sa pristalicama SNS, a onda mu se život pretvorio u pakao
7. Tajne prepiski Selakovića i optuženih za "Generalštab": Preko Vajbera i Vocapa razgovarali o državnoj aferi, ministar zaposlenu nazvao "ozbiljnim ustašom"
8. BLOG UŽIVO "Slučaj Generalštab kao pokušaj uništava istorije i paljenja Narodne biblioteke": Studenti otišli sa skupa ispred Suda, predali pismo zbog suđenja Selakoviću
9. Sigurnosne kamere zabeležile trenutak kada dvojica napadača bacaju bombu na Čolinu kuću: Policija poseduje snimak
0 Janakopulos se oglasio zbog skandala trenera Olimpijakosa: "Nijedan „patuljak“ nema pravo da uzima Panatinaikos u svoja usta"
0 FOTO Pogledajte gde je Novak sleteo iz Australije: Odmah su na aerodromu skočili da se fotografišu sa njim
0 Edita Aradinović raskinula s dečkom kad je ostala trudna, a naša pevačica koju svi znate uradila je isto - samo mesec dana posle porođaja Showbiz 0
7 "Ne postoje ti uslovi za koje bi Aleksandra Prijović trenutno došla da peva na romsko veselje": Harmonikaš otkrio sve - "Tražila je da se obrišu snimci" Showbiz 7
0 Stižu čak četiri filma o Bitlsima, svaki član dobiće svoju priču: Iza svega stoji slavni reditelj, a postava je zvezdana Film 0
0 Nemci pomeraju granice: Ovi radnici ići će u penziju s 57 godina, uz 95 posto plate i plaćene doprinose Lifestyle 0
0 Obezbeđenje na ulazu, svuda postavljene kamere: Poznato gde će Milica Todorović živeti sa sinom Showbiz 0
0 Pobednica „Zvezda Granda“ maznula mlađeg frajera: Teodora uživa s novim dečkom, uskoro ćemo ih gledati zajedno Showbiz 0
0 "Dve godine sam se tuširao kod nje, a ona kod mene prala veš": Borko Radivojević progovorio o razvodu od Milene sa kojom ima troje dece Showbiz 0
9 Jakna od 800 evra rasprodata je za dan, a izgleda gore od one koju ste bacili prošle godine: Da li je ovo najbizarniji modni komad decenije? Lifestyle 9
3 Stigli rezultati velike studije o raku - stručnjaci tvrde: "Sad imamo informacije da ga sprečimo pre nego što počne" Zdravlje 3
Stigli rezultati velike studije o raku - stručnjaci tvrde: "Sad imamo informacije da ga sprečimo pre nego što počne" Zdravlje 3
Uđi, prespavaj, prodaj: Novi koncept putovanja privlači sve više turista, termini popunjeni dve godine unapred Putovanja 0
VIDEO Jokićev tripl-dabl za istoriju u hramu košarke: Ludačka drama završena posle dva produžetka, Srbin radio šta je hteo
Studenti ne veruju da je Danica Grujičić protivnik vlasti: “Ne padamo na to, jasno je da će biti satelit SNS-a”
0 "Asocira me na neke ružne stvari": Mina Kostić otkrila zašto ne voli jedan od svojih najvećih hitova
3 Stigli rezultati velike studije o raku - stručnjaci tvrde: "Sad imamo informacije da ga sprečimo pre nego što počne" Zdravlje 3
6 U ovim gradovima su najskuplji stanovi za iznajmljivanje - jedan mesec kao 5 plata: Ako ste mislili da je Beograd skup, pogledajte ovo Lifestyle 6
6 Naučnici prvi put zavirili u poslednje trenutke mozga dok telo umire: "Sad znamo kakav je osećaj umreti" Nauka 6
14 Čuveni američki naučnik preselio se u Srbiju i rekao je nešto što mnogi misle, a ne smeju da kažu: "Ovo samo kod vas postoji" Lifestyle 14
Kina i SAD u sukobu oko najbogatijeg svetskog ležišta dva retka metala: Kineskinja kažnjena zbog kršenja zakona
2 Epstin želeo da kupi "Titovu vilu": "Rekli su mi da se svih pet vlada mora složiti, srpska i ostale" Svet 2
Prete li Srbiji posle "Mrdićevih zakona" i "Odalovićevi zakoni"?: MUP na mala vrata pokušava da progura rešenja koja su "pala" dva puta Hronika 0
Zašto lakše trošimo novac koji „ne vidimo“ i da li je impulsivna kupovina oblik zavisničkog ponašanja
„Mene ništa više ne može da šokira“: Ceca Ražnatović o bombi koja je bačena na Čolinu vilu: „Treba da se oglasi policija“ VIDEO
Oglasio se Zdravko Čolić nakon incidenta: „Neke izjave su protumačene na način koji ne odgovara pravom stanju stvari“
NOVA BAZA „Oterani“: Stručnjak smenjen zbog kolegijalnosti, sudija kažnjen zbog „Ceprisa“, inspektora progonili, posthumno ga proglasili za heroja Politika 0
NOVA BAZA „Oterani“: Direktor odbio da vodi naučnike na miting, inspektor zbog „Jovanjice“ proglašen za izdajnika, meteorolog otpušten jer se borio za čist vazduh Politika 0
NOVA BAZA „Oterani“: Lekar smenjen zbog kritikovanja ministra, tužiteljka progonjena jer je ukazala na bezakonje, general odbio da se odrekne veterana Politika 0
NOVA BAZA „Oterani“: Naučnik smenjen zbog Darije Kisić, tužiteljki se osvetio Nenad Stefanović, časni policajac postao „otac blokadera“ Politika 2
Neurohirurg (92) kaže da ovaj desert održava mozak mladim: Možete ga jesti svaki dan, ali pod jednim uslovom
0 Urušila se kuća u Džordža Vašingtona, uništeno nekoliko vozila: Policija i vatrogasci na terenu FOTO VIDEO
VIDEO Jokićev tripl-dabl za istoriju u hramu košarke: Ludačka drama završena posle dva produžetka, Srbin radio šta je hteo Košarka 0
Studenti ne veruju da je Danica Grujičić protivnik vlasti: “Ne padamo na to, jasno je da će biti satelit SNS-a” Društvo 0
Rajić: Sudija se prema Selakoviću ponaša kao da je infantilan i da mu treba staratelj, a ne kao da ima pet branilaca Hronika 0
Privedeni simpatizeri Milana Nedića: Zaobišli policiju i naoružani palicama i kaiševima pokušali da priđu antifašistima Hronika 0
Mačvanski poljoprivrednici organizovali sastanak u restoranu predsednika opštine Bogatić: „Ovde inspekcija ne sme da uđe“ Društvo 0
Trejdovan Vanja Marinković, bio neophodan da se desi razmena: Rajaković dobija zvezdu koja će biti otpuštena Košarka 0
Ko su Hrvati u Epstinovim fajlovima: Jedan mu nudio hrvatske manekenke, pominju se poznata voditeljka, naučnici Svet 0
"Dok sam ja predsednik, Srbija je na evropskom putu": Vučić tvrdi da je spreman da sa EU prispita Mrdićeve zakone Politika 0
"Prvi ministar iz SNS na optuženičkoj klupi, blizak Vučićev saradnik": Svetski mediji o suđenju Nikoli Selakoviću Politika 0
Skup podrške učeniku Pete: Gimnazija je sada više nalik na „staljinistički gulag, u kojem je diktator poslao upravnika da ih pokori i slomi duh“ Društvo 0
"Nova" piše: Kako je sa liste čekanja nestalo više od 6.000 pacijenata za operacije kuka i kolena Društvo 0
Penjaroja imao poruku za Fernanda, pa pričao o povratku Vaingtona: "Stigli smo u pet ujutru u Beograd" Evroliga 0
Nestorović: Poslanici Ekološkog ustanka se vraćaju u Skupštinu "ne da bismo sedeli i snimali se, već da bismo izneli probleme" Politika 0