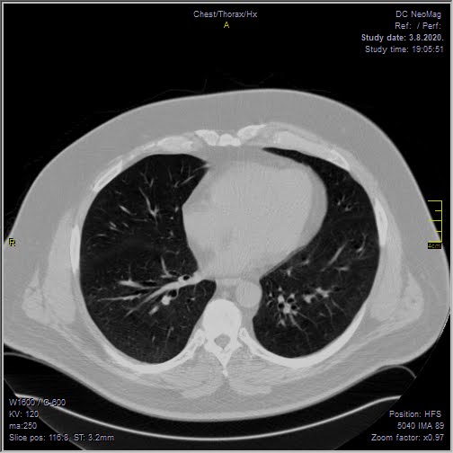
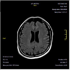
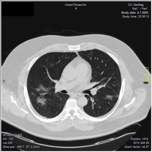
Foto: Privatna arhiva Foto: Privatna arhiva Foto: Privatna arhiva Radiolog pokazao snimak pluća i mozga 3 meseca posle kovida autor: Božica Luković Zdravlje 09. okt. 2020. 12:26 0 Podeli vest: Radiolog Aleksandar Ivković na svom blogu pruža naučni uvid u sve pojave koje je sa sobom donela pandemija koronavirusa. Rešio je da podeli kakvo je stanje jednog pacijenta tri meseca nakon što je preležao opaki virus. Podeli vest: Oglas Lekari i dalje ne znaju sa sigurnošću kakve sve posledice kovid 19 ostavlja po organizam. Postoje čak osobe koje više meseci pate od bolesti koju izaziva novi koronavirus, a mnogi prijavljuju i brojne tegobe koje ih muče i nakon negativnog testa.Niški radiolog, čije smo tekstove prenosili i ranije, ovog puta je odlučio da podeli snimke pluća i mozga svog pacijenta, koji je preležao virus pre tri meseca.Objavu sa bloga Aleksandra Ivkovića "Ljudi i ostale laži", prenosimo u celosti."Obećao sam da ću preneti kakvo je stanje pacijenata nakon kontrola. Ovde se radi o pacijentu koji je u grupi 50 - 60 godina, muškog pola, imao teži oblik kovida, nije bio na respiratoru, samo na kiseoniku.Prvi put kada sam ga pregledao bio je početak jula. Obostrana pneumonija. Foto: Aleksandar Ivković | Foto: Aleksandar Ivković Ime sam uklonio, datum se vidi, kao i ime ustanove. Ove bele fleke u plućima, koje kada se malo uveća, liče na mutno staklo, su ustvari žarišta pneumonije. Foto: Aleksandar Ivković | Foto: Aleksandar Ivković Kada bi ove bele "fleke" počele da se šire ka sredini, ka srcu, to bi značilo da se bolest širi i da se razvija citokinska oluja. Nije došlo do toga.Pacijent je došao na kontrolu nakon mesec dana. Žali se samo za zamaranje. Nema tegobe, samo želida vidi kakvo je stanje pluća. Foto: Aleksandar Ivković | Foto: Aleksandar Ivković Evidentno više nema onih zona zapaljenja. Bronhi su lako zapaljeni, mogu da se uoče mesta na kojima je bilo zapaljenje. Foto: Aleksandar Ivković | Foto: Aleksandar Ivković Ako se zagleda malo bolje prisutne su zone oštećenja alveola ali to ne spada u neki nalaz koji je zabrinjavajući.Skoro dva meseca kasnije, ponovo dolazi na pregled. Ovaj put nisu pluća u pitanju. Žali se da je konfuzan, da ne može da se seti nekih reči, da ne može da završi rečenice, da ima rupe u pamćenju.Urađen je MR pregled mozga. Foto: Aleksandar Ivković | Foto: Aleksandar Ivković Jedna ishemijska lezija, nekoliko mikroishemijskih lezija i atrofija mozga.Takav nalaz se uklapa u tegobe koje je pacijent opisao. Takođe se uklapa u ono što opisuju drugi da vide kod svojih pacijenata.Za one koji nisu shvatili još uvek - kovid 19 je opasna bolest. Od nje se umire, ostaju posledice. Nikako nije za igranje.Nikako nije ni za namerno zaražavanje, kako su neki pozivali", napisao je radiolog.***Bonus video:https://www.youtube.com/watch?v=PtivsKpglHYPratite nas i na društvenim mrežama:FacebookTwitterInstagram Srpski radiolog: 5 zabluda o asimptomatskim pacijentima Zdravlje 0 Ispovest srpskog radiologa: Golgota korone u sedam dana Zdravlje 0 Profesor Vujčić raskrinkao srpske teorije zavere o koroni Zdravlje 0 aleksandar ivković posledice koronavirusa Pratite nas na društvenim mrežama: Koje je tvoje mišljenje o ovoj temi? Učestvuj u diskusiji ili pročitaj komentare Budite prvi koji će ostaviti komentar Pošalji komentar Pročitaj komentare (0)