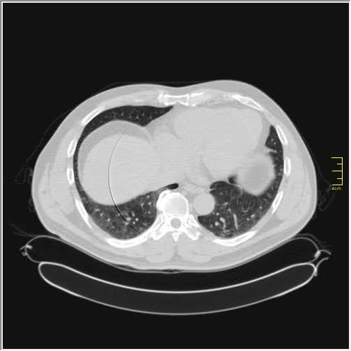
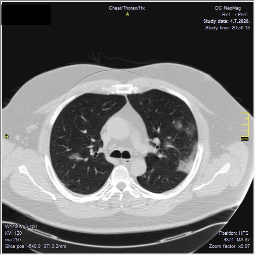
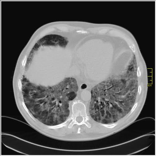
Foto: Aleksandar Ivković Foto: Aleksandar Ivković Foto: Aleksandar Ivković Zastrašujući snimci skenera pluća od 1. do 15. dana kovida autor: Božica Luković Zdravlje 26. nov. 2020. 12:33 > 26. nov. 2020. 13:35 0 Podeli vest: Kovid 19 je nepredvidiva bolest koja u razmaku od par dana može iz blage da preraste u opasnu po život. Kako koronvirus utiče na pluća iz dana u dan, pokazao je na snimcima CT skenera srpski radiolog Aleksandar Ivković. Podeli vest: Oglas Lekar iz Niša na svom blogu "Ljudi i ostale laži" redovno piše o svim važnim temama u vezi sa koronavirusom, a sada je odlučio da prikaže CT skenere pluća osobe obolele od kovida 19.Objasio je šta lekari tačno prate kada su u pitanju snimci pluća, ali i kako se te stavke menjaju kako bolest napreduje.Njegovu objavu prenosimo u celosti."Vraćam se na svoju usku struku (da ne bude da se mešam u tuđu). Kompjuterizovana tomografija, skener ili CT je metoda pregleda koja je superiorna kod zapaljenskih bolesti pluća. Kod kovida 19 se pokazala kao nezamenjiva u diferencijaciji u odnosu na ostale bolesti. Tačnost nalaza na plućima je visoka. Šta mi to možemo videti i kako tumačimo? Stvari koje pratimo su:- Ground glass konsolidacije (GGO).To su one bele "mrlje" na snimcima koje su karakteristične za ovu bolest. Nazivaju se "ground glass" svuda. Izgledaju kao da se taj deo pluća gleda kroz mlečno staklo, kao neka vrsta mikromozaika. Foto: Aleksandar Ivković | Foto: Aleksandar Ivković - Crazy paving.To su linearna zadebljanja koja se nekada vide u ground glass konsolidacijama. Ona nastaju kasnije, ne javljaju se pre GGO. Neko ih opisuje kao da pijani majstori slažu pločice. Na slikama se to vidi kao nepravilna zadebljanja unutar GGO, složena bez ikakvog reda. Foto: Aleksandar Ivković | Foto: Aleksandar Ivković - Vaskularne dilatacije. Dolazi do zapaljenskog procesa krvnih sudova i/ili do zastoja tako da su nam na snimcima krvni sudovi "deblji". Foto: Aleksandar Ivković | Foto: Aleksandar Ivković - Trakcione bronhiektazije. To su proširenja vazdušnog prostora (ali ne onog koji učestvuje u disanju) koja nastaju kada stradaju alveole i proširuje se prostor između njih. Foto: Aleksandar Ivković | Foto: Aleksandar Ivković - Arhitektonske distorzije. Pojava traka blizu pleure koje nastaju propadanja plućnog tkiva i nastanka fibroznog. Foto: Aleksandar Ivković | Foto: Aleksandar Ivković Svaki od ovih znaka se može javiti i kod drugih bolesti ali svi zajedno su specifični za kovid-19Da bi objasnili stanje koristimo Severity Score. On služi za procenu ozbiljnosti bolesti. Pluća se sastoje od pet lobusa. Procenjuje se svaki pojedinačno ocenama od 0 do 5. To znači da se skor kreće od 0 do 25.0 - znači da nema GGO konsolidacija1- znači da je manje od 5% tog lobusa zahvaćeno2 - znači da je zahvaćeno od 5 do 25% tog lobusa3 - znači da je zahvaćeno 26 do 50% tog lobusa4 - znači da je zahvaćeno 51 do 75% tog lobusa5 - znači da je zahvaćeno više od 75% tog lobusa Na CT razlikujemo 4 faze (najčešće ali nije decidirano tako) Rana faza (0 do 4. dan) - pojedinačne GGO, neka crazy paving, nizak skor Foto: Aleksandar Ivković | Foto: Aleksandar Ivković Progresivna faza (5. do 8. dan) - povećanje broja GGO i crazy paving Foto: Aleksandar Ivković | Foto: Aleksandar Ivković Pik faza (10. do 13. dan) - javljaju se konsolidacije pluća, to znači da veliki delovi pluća izgledaju kao velike bele površine a označavaju delove pluća koji su masa koja koja je u celini zahvaćena zapaljenskim procesom. Foto: Aleksandar Ivković | Foto: Aleksandar Ivković Faza rezolucije (posle 14. dana) - vraćanje delova pluća u normalu ili smrt Foto: Aleksandar Ivković | Foto: Aleksandar Ivković Iskustveno smo došli do skora 15 koji predstavlja neku granicu između verovatno dobrog i verovatno lošeg ishoda. Samo tumačenje zavisi od faze bolesti. Naš nalaz je samo deo procene i ne menja laboratorijske i pulmološke, kao ni ostale. Svaki nalaz zajedno daje ukupnu sliku bolesti. Foto: Aleksandar Ivković | Foto: Aleksandar Ivković Nalaz je u88% slučajeva sa obe strane,88% ground glass,80% posteriorno,79% multilobularno,76% periferno i30% konsolidacijeTo je posao radiologa, to je moj posao. Sasvim sigurno je da bez ovih slika lečenje ne bi bilo lako. Pacijente delimo na lake - one koji nemaju tegobe, teške - one koji imaju zahvaćeno do 50% pluća i kritične a to su oni kod kojih je više od 50% zahvaćeno", piše dr Ivković.***Bonus video:https://www.youtube.com/watch?v=fYeYlhqeD5cPratite nas i na društvenim mrežama:FacebookTwitterInstagram Revolucija iz Niša: Test na koronu koji predviđa tok bolesti Zdravlje 0 Tekst naučnika koji ruši sve zavere o koroni - i daje nadu Zdravlje 0 72 sata pakla od kad su me zabolela pluća u kovid Srbiji Zdravlje 0 aleksandar ivković ct skener koronavirus kovid-19 pluća Pratite nas na društvenim mrežama: Koje je tvoje mišljenje o ovoj temi? Učestvuj u diskusiji ili pročitaj komentare Budite prvi koji će ostaviti komentar Pošalji komentar Pročitaj komentare (0)